Yonsei Heal Dental Clinic
ソウル ヨンセヒル歯科
睡眠インプラントの名門 痛みなく、安全に。
"痛みの心配がない「睡眠インプラント」を保健福祉部認定専門医から安全に"
はい、承知しました。ご指定の英文を日本語にすると次のようになります:理想の笑顔をつくりましょう —— 今すぐご予約を。
Start Your Smile Journey Today
ヨンセヒル歯科病院へようこそ
2014年の開院以来、ソウルで最高品質の審美歯科サービスを提供することで知られています。私たちは、最高水準を重視した患者中心のアプローチを誇りとしています。当院についてさらに詳しく知りたい方は、ウェブサイトをご覧ください。
当院では、1日ポーセレンラミネートベニア、ハリウッドスマイル、スマイルメイクオーバー治療を提供しています。
ストローマンデンタルインプラント治療を誇りを持って提供しています。
1日ホワイトニングもご利用いただけます。

当院が誇る使用製品
スイス製ストローマンデンタルインプラントは、数十年にわたり世界No.1のデンタルインプラントです。当院では現在、SLActive®およびRoxolid®機能を備えた、ストローマンの最高級ラインであるBLX™を使用しています。
1日スマイルメイクオーバー
現代歯科技術の革新により、CERECプライムスキャンおよびプライムミルシステムを通じて、当院独自の1日スマイルメイクオーバー治療をご提供できることを誇りに思います。たった1日で、あなたの理想の笑顔を手に入れることができます。
患者様の声
ソウルで歯科治療を受けるのは初めてで、正直かなり緊張していました。でも、ヨンセヒル歯科は最初の問い合わせから本当に親切で、WhatsAppで日本語でやり取りできたのが安心できました。金浦空港から15分という立地も、仕事で韓国に来ることが多い私にはぴったりでした。
先生は日本の歯科事情もよく理解されていて、「日本だとこういう治療が一般的ですよね」と共感してくださったのが印象的でした。インプラント手術は睡眠麻酔でお願いしたんですが、本当に気づいたら終わっていて、痛みもほとんどありませんでした。術後のケアも丁寧に説明してくれて、不安なことがあればいつでもWhatsAppで連絡してくださいと言ってもらえたのが心強かったです。
費用も日本の半分以下で、この品質なら文句なしです。次回の定期検診も予約済みで、また韓国出張のついでに寄る予定です。外国人だからといって雑に扱われることもなく、むしろVIP待遇してもらった感じでした(笑)
山田健太 (37歳)
Yamada Kenta
ずっと前歯の隙間がコンプレックスで、日本でもベニア治療を検討していたんですが、費用が高すぎて踏み切れませんでした。韓国の美容医療が優れているのは知っていたので、思い切ってソウルのヨンセヒルに予約を入れました。
初診のカウンセリングで、先生が私の希望を本当に丁寧に聞いてくれました。「自然な仕上がりにしたい」「白すぎるのは嫌」という細かい要望にも、何度もシミュレーションを見せながら対応してくれて、安心して任せられました。院内にラボがあるので、技工士さんとも直接話せて、色や形を微調整できたのが本当に良かったです。
1日で完成するって聞いて驚きましたが、CERECという最新システムを使っているそうで、朝に型取りして夕方には装着完了。まるで自分の歯みたいに自然で、友達に「整形した?」って聞かれるくらい印象が変わりました。外国人だからって適当にされることもなく、むしろ「せっかく遠くから来てくれたから完璧に仕上げたい」という気持ちが伝わってきました。
帰国後もメールで経過を気にしてくれて、アフターケアも万全です。来月また韓国に行く予定があるので、ホワイトニングもお願いする予定です。本当に来てよかった!
佐藤美咲 (42歳)
Sato Misaki
歯茎が下がってきて、日本の歯医者で「歯肉移植が必要かもしれない」と言われていました。ただ、日本だと治療費が高額な上に、何度も通院が必要だと聞いて躊躇していたんです。たまたまソウル出張が入ったので、評判の良いヨンセヒル歯科に相談してみることにしました。
先生はCT撮影と詳しい検査をした上で、「レーザー治療なら切開も少なくて済むし、痛みも最小限に抑えられます」と説明してくれました。治療中は本当に痛みがなくて、「もう終わったんですか?」って驚いたくらいです。従来の歯肉移植は口の天井から組織を取るので痛いと聞いていたんですが、こちらの方法は全然違いました。
外国人患者の対応に慣れているのか、治療の説明も分かりやすかったし、術後の注意事項も日本語で書面をもらえました。金浦空港から近いので、出張のスケジュールにも無理なく組み込めたのも助かりました。治療後2週間経ちましたが、経過も良好で、歯茎の色も自然に戻ってきています。
次回の経過観察も予約済みで、今後も定期的にソウルでメンテナンスを受けるつもりです。日本より安くて、技術も高くて、サービスも丁寧。もっと早く来ればよかったと本気で思っています。
鈴木大輔 (45歳)
Suzuki Daisuke
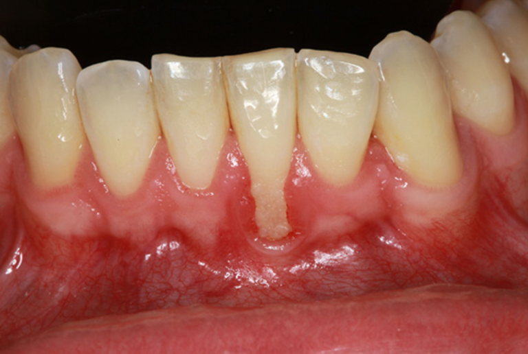
歯肉移植術
歯肉移植術は、歯肉退縮によって露出した歯根を覆うために組織を移植する外科的処置です。歯肉の健康を改善し、知覚過敏を軽減し、さらなる退縮を防ぎ、笑顔の見た目を向上させるために行われます。移植組織は通常、口蓋(口の天井部分)、近くの歯肉、または提供された組織から採取されます。

Q. 歯肉移植術は必要ですか?
A) はい、歯肉退縮がある場合は必要です!
左の画像の状態は歯肉退縮と呼ばれ、歯の根の部分が歯肉の外に露出している状態です
歯肉移植術は痛いですか?
歯肉移植術は、治療する口腔内の部位を麻痺させる局所麻酔下で行われます。患者様自身の組織を移植片として使用する歯科医もいれば、組織バンクからの組織を使用する歯科医もおり、後者の場合は手術部位が1か所に限定されます。局所麻酔により、歯肉移植術はほぼ無痛になります。患者様が感じる唯一の不快感は、麻酔針の軽いチクッとした感覚のみです。口蓋から組織を採取した場合、この部位は数日間痛みを感じることがあります。また、歯根にアクセスするために歯肉を持ち上げた場合、治療した歯も痛むことがあります。
海外から多くの患者様がご来院されています。高品質でありながら手頃な価格の歯科サービスを受けるに値するからです。
この治療はほとんどの場合、1回または2回の来院で完了するため、K-デンタルツアーの最高の価値を楽しむ多くの海外からの旅行者がいらっしゃいます。
院内ラボで1日で作製するポーセレンラミネートベニア。熟練のセラミスト(技工士)が常駐しているため、手間なく歯をカスタマイズできます!
なぜ延世ヒール歯科クリニックは特別なのか?

ソウルにある延世ヒール歯科クリニックでは、包括的で患者様中心のケアこそが最適な歯の健康を実現する鍵であると考えています。私たちの最優先事項は歯と歯ぐきの健康を守り維持することですが、口腔の健康が全身の健康と密接に関わっていることも理解しています。
近年の研究では、むし歯や歯周病といった口腔疾患が、心臓病、糖尿病、さらには一部のがんなどの重大な全身疾患と関連していることが次々に明らかになっています。患者様が口腔疾患のリスクを減らすことで、より明るく健康的な笑顔をサポートするだけでなく、長期的な全身の健康にも貢献できるのです。
ソウルで経験豊富な歯科医をお探しなら、延世ヒール歯科クリニックは、患者様の全身の健康と安全を考慮した先進的な歯科治療をご提供いたします。
当院について
患者様中心のケア
合理的な価格
保健福祉部認定専門医(チョン・ヒョンジュン院長)
徹底したアフターケア
過剰診療なし
診療時間
- 月曜・金曜:10:00 〜 19:00
- 火曜・水曜・木曜(夜間診療):10:00 〜 21:00
- 土曜・日曜:9:00〜14:00
(昼休憩なし)
- 昼休憩:13:00 〜 14:00
(※土日を除く)
※ 土日診療は昼休憩なしで連続診療いたします。









