
歯を削る量を最小限に抑えた
0.01mm
歯を大切に
予約する
お問い合わせ
360日、年中無休
予約と治療が可能です。
Review
トライネート リアルな口コミ

まるで自分の歯のように
キレイに なった

クリアで透明な歯のための
トリネート
Fashion, Tech, Art が結合したヨンセヒール歯科の
プレミアムラミネートで、精密な技術と芸術的な
デザインが融合した、最も洗練された笑顔のための
選択肢です。


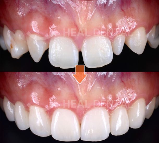
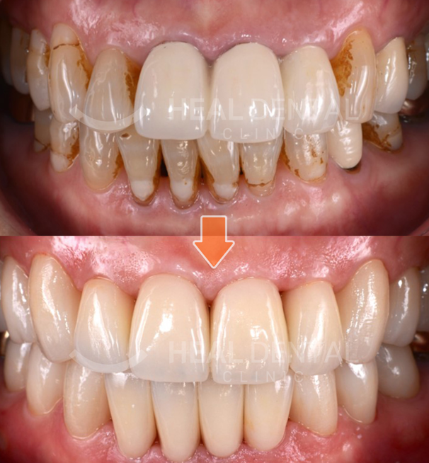
一般的なラミネートは付着するために既存の歯を
比較的多く削らなければいけない場合が多いです。
なので、衝撃に弱く、割れたり破折する場合が
多くあります。トリネートは強化セラミック素材を
使用し、強度が既存に比べ大きく向上し、長く安定的に
使用することができます。
また、トリネートは超薄型デザイ(0.01〜0.02mm)
で制作され、歯を削る部分がほとんど必要ありません。
すなわち、元々持つ歯を最大限保存しながら、美しい
審美効果を得ることができます。

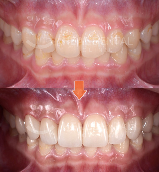
We are artists who draw the gum line
私たちは歯茎のラインを描く画家です。
トリネートは単に歯を綺麗に見せるのではありません。
本当の美しさは歯茎のラインから始まります。
微細な歯茎の移植とラインの整形で、笑うときに
見えるラインを新しく描きます。そのラインの
上にセラミックラミネートで輝きをまとうと結果は
過程ではなくバランスで完成します。
笑うときに見える白とピンクの比率、口角のリズム、
自撮りの角度まで変わります。
私たちは医師ではなく、笑顔をデザインする画家であり、
マジシャンです。患者様の顔の形、唇のライン、笑顔の
流れを読み取り、自然ながらもはっきりとした私だけの
歯茎のラインを描きます。目立たずに綺麗な「本来の
自分らしさをそのままに、より自分らしい笑顔」、
これが私たちが作る本当の変化です。
トリネートは顔、唇のライン、笑顔の角度までを分析し、
患者様に一番合うラミネートをデザインします。
一人一人の「印象、自体を設計する美学」です。
最新の3Dスキャナーとデジタルデザインシステムを
活用し、歯の形、咬合、微細な角度まで精密に表現
します。0.01mmの誤差も許容しない技術力で
自然でラクな着用感を完成させます。

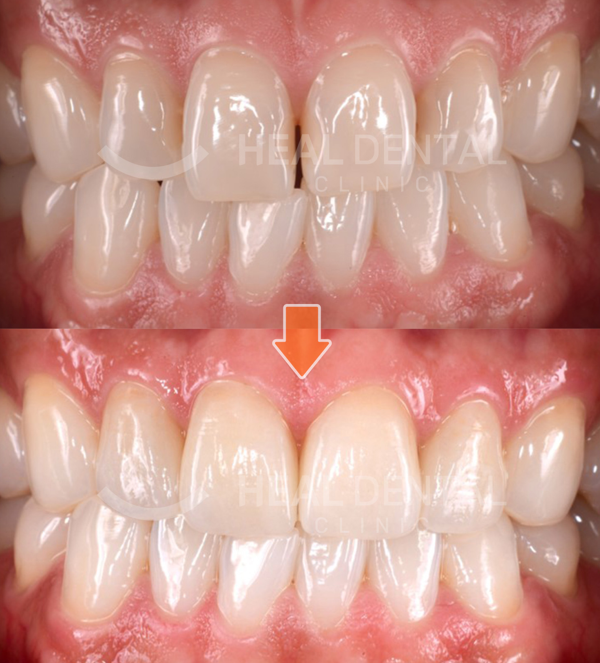
Before & After







ヨンセヒール歯科のインテリアは単なる治療空間で
はなく、患者様の気持ちが穏やかになれる
ヒーリングスペースで設計されました。
冷たい医療施設の感じを離れ、暖かい照明と
自然な色感、ソフトな動線で構成されています。
ホワイトとウッドトーンの調和を行う空間の中には
高級感のある感覚と衛生的な専門性が共存します。
治療の瞬間さえ、ラクに感じれるよう
美しさと安定感を共存する空間美学を表現しました。
ヨンセヒール歯科の
共同で診療を行う医師
10人を紹介いたします。

ラミネートは感覚よりも正確さが重要です。
当院では補綴・歯周・矯正・デジタルデザイン専門医が
一つのチームで動く「ラミネート担当チーム」を運営します。
歯茎のラインから歯の透明度、矯正バランスまで
0.01mm単位で設計し、初めよりもより自然で長持
ちする結果を作ります。あなたの二番目の笑顔は本当の
専門家の手によって完成します。
YouTube
インプラント妖精ヒョンジュン
ヨンセヒール歯科のYouTubeをご覧い
ただくとより多くの情報を
チェックして頂けます。 youtube.com/@healdental

