ソウルでの歯周病治療
歯茎の健康を取り戻す専門的な治療
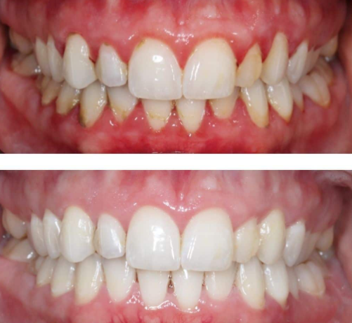
Gum Disease Treatment Seoul
歯周病治療とは?
歯周炎(ペリオドンタイト)は、一般的に「歯周病」と呼ばれる炎症性疾患です。
歯を支える組織(歯根膜、セメント質、歯槽骨)が破壊され、最終的には歯の喪失につながる可能性があります。
歯周炎の主な原因は細菌性プラークで、状態が軽度〜中等度であれば、自宅での適切な口腔ケアによって改善できる場合もあります。しかし、症状が進行している場合は、専門的な歯科治療が必要となります。
ソウルで受ける歯周病治療
歯周病は自覚症状が出にくい「サイレントディジーズ(沈黙の病気)」であり、初期段階では多くの人があまり気に留めません。
しかし、この“気づかないまま放置すること”は、後になって大きな代償を招くことになります。
アメリカCDC(疾病対策センター)の報告によると、歯周炎(歯周病)の有病率は次の通りです。
- 30歳以上の47.2%
- 65歳以上の70.1%
この衝撃的なデータは、高齢者の歯の喪失の約70%が歯肉炎・歯周炎関連疾患によるものであるという別の研究結果とも一致しています。
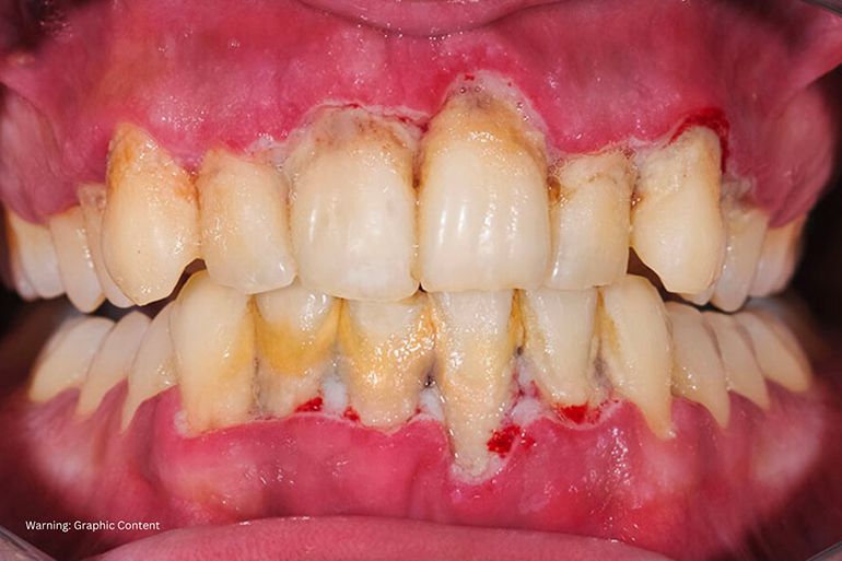
歯周病とは?
歯周病は、感染や細菌の増殖によって歯ぐきが赤く腫れるところから始まる炎症性疾患です。
すべての歯ぐきの炎症が、すぐに歯周炎(重度の歯周病)へ進行するわけではありません。
歯の清掃が不十分な場合、歯のまわりに細菌性プラーク(粘着性の膜)が形成されます。
このプラークは歯ぐきの縁に広がり、やがて硬くなって歯石になります。歯石は自分では取り除きにくく、歯ぐきの清掃を難しくします。
さらに、プラークが産生する酸により歯のエナメル質が損傷し、虫歯になりやすい状態になります。
進行した場合の症状
病気が進行すると、歯ぐきが下がり歯周ポケットが形成されます。
このポケット内に再び細菌が溜まり、感染が拡大します。
免疫システムは細菌と戦おうとするため、歯ぐきの腫れ・出血・痛みが起こります。
歯周病はどのように治療するのか?
治療はまず、歯ぐきの出血状態の確認から始まります。
次に、歯と歯ぐきの境目に歯周プローブを挿入し、ポケットの深さを測定します。
- 4mm以上 → 歯周炎の可能性
- 5mm以上 → 骨の吸収(骨が溶けているか)を確認するためレントゲン検査が必要
歯ぐき後退(歯肉退縮)の治療
歯周病が軽度の場合:
- 歯周ポケットや歯周病菌を徹底的にクリーニング(スケーリング・ルートプレーニング)
- 必要に応じてレーザー治療で感染部分を除去
中等度〜重度の場合:
- フラップ手術(歯周外科)によるポケット除去
- レーザー治療
- その他の高度な歯周治療が行われます
歯周病の治療は「除菌 → 炎症改善 → 組織の回復」を目的として段階的に進められます。

歯周病の原因は何ですか?
歯周病の最も一般的な原因は、歯や歯ぐきに付着するプラーク(細菌のかたまり)です。
しかし、歯周病のリスクを高める要因はほかにもあります。
主な原因とリスク要因
1. プラークの蓄積
プラークは歯や歯ぐきに付着する厚い細菌層で、
早期に対処すれば簡単なケアで予防が可能です。
2. 喫煙
喫煙は歯ぐきの細胞に悪影響を与え、
感染に対する抵抗力を低下させるため歯周病を悪化させます。
3. 女性のホルモン変化
妊娠や月経時のホルモン変動により、
この期間は歯ぐきが炎症を起こしやすくなることがあります。
これは“必ず歯周病になる”という意味ではなく、
より注意深いケアが必要ということです。
4. 服用している薬の影響
口腔乾燥を引き起こす薬は、
細菌が増殖しやすい環境を作るため、
そのような薬を服用している場合は口腔衛生に特に注意する必要があります。
5. 歯並びの乱れ(叢生)
歯が重なっていたり曲がっていると、
プラークがたまりやすく、歯周病のリスクが高まります。
6. 家族歴(遺伝的要因)
歯周病は遺伝的要素が関係することもあり、
このような患者はハイリスク群として注意深く治療されます。

歯周病治療の費用はどれくらいですか?
以下は、歯周病治療に含まれる主な処置の国別平均費用です。
フルマウス・ディープクリーニング(全顎の歯周基本治療)
- アメリカ:600〜1,200ドル
- イギリス:350〜550ポンド
ポケット除去手術(フラップ手術)
- アメリカ:1,000〜3,000ドル
- イギリス:850〜1,500ポンド
歯肉移植(1歯あたり)
- アメリカ:600〜1,200ドル
- イギリス:450〜500ポンド
歯周病治療にはどれくらい時間がかかりますか?
歯周病の治療期間は、炎症の程度や症状の進行度によって異なります。
- 一般的な歯周治療では、複数回の通院が必要です。
- レーザー治療の場合、進行した炎症に対しては
4回のセッション(約2〜3週間)で完了することが多いです。
治療が完了すると、
- 歯ぐきの赤み・腫れが軽減し、
- 揺れていた歯が歯槽骨にしっかり固定される感覚が得られます。
歯周病の主な症状とは?
以下の症状がある場合、歯周病の可能性があります。チェックしてみましょう。
- 歯みがき、フロス、または固い果物(リンゴ、プラムなど)を食べた際に歯ぐきから出血する
- 歯ぐきが赤く腫れて痛む
- 口臭・口内の不快な味
- 歯ぐきが下がってきた(歯肉退縮)
- 歯がぐらつく
- 口の中に赤い斑点ができる
- 口内や唇にしこりができる

韓国での歯周病治療(Gum Disease Treatment Korea)
毎年10万人以上のヨーロッパ・ロシアの患者が韓国の歯科を訪れる理由は次のとおりです。
1. 高品質な治療を手頃な価格で受けられる
欧米の先進国では歯科治療費が非常に高額なため、
高品質かつ適正な価格で治療を受けられる国として韓国が注目されています。
韓国は歯科医療ツーリズムの主要な目的地のひとつです。
2. アクセスの良さ
ヨーロッパ各国から直行便で数時間で到着でき、
渡航の負担が少ないことも大きな魅力です。
3. 高度な教育を受けた歯科医師
韓国の歯学教育はアジアでも最も難しいレベルで、
韓国の歯科医は現代的な歯科医療の分野で豊富な経験と高い専門性を持っています。
4. 最先端の技術設備
歯科医療観光の増加に伴い、韓国の多くの歯科医院は
最新のデジタル機器と高度な技術を導入し、
経験豊富な歯科医とともに最先端の治療を提供しています。
韓国における歯肉移植(ガムグラフト)の成功率は?
韓国で行われる歯周病治療や歯肉移植の成功率は90%以上と非常に高い水準です。
特に、歯周病専門医(ペリオドンティスト)または審美歯科専門医による治療は、成功率をさらに高め、歯ぐきの仕上がりをより自然で美しく、歯との調和の取れた形に整えることができます。
Gum Diseases Gingival Bleeding - FAQ
歯周病はどのように予防できますか?
歯周病を予防することは、天然歯を守るうえで非常に重要です。
歯周病の原因を理解し、歯科医と相談しながら対処することで、
歯周病の発症・進行・再発を防ぐことができます。
歯肉疾患を予防するためには、生涯にわたって次の2つのステップを組み合わせる必要があります。
正しいブラッシング習慣と最適な口腔衛生を維持すること
6ヶ月ごとに歯科医の管理下で歯石除去と歯ぐきのケアを受けること
治療は痛いですか?
歯周病治療では局所麻酔が行われるため、治療中に痛みを感じることはほとんどありません。
レーザー治療の場合は、より短時間でスムーズに処置が進むという利点があります。
治療後やセッション後に歯ぐきの敏感さ(しみる感じ)が出ることがありますが、
この症状はしばらくすると自然におさまります。
歯科医にかからずに歯周病を治す方法はありますか?
歯周病は専門的な治療が必要な疾患であり、自宅ケアだけで100%改善することは非常に困難です。
特に、歯に付着した硬い歯石や、歯ぐきの下に入り込んだ細菌を十分に除去できなければ、
感染はすぐに再発してしまいます。
歯周病が始まってしまった後でも止めることはできますか?
歯周病は外科的治療によって進行を止めることが可能です。
しかし、歯周病によって失われた歯槽骨のダメージを完全に元に戻すことは通常は難しいとされています。
それでも、症例によっては矯正治療などによって一部の改善が期待できる場合があります。
歯肉移植手術後に起こりうる合併症
歯周病治療は90%以上の高い成功率を誇りますが、それでも以下のような合併症が起こる可能性があります。
歯ぐきのラインが不均一になること
出血
感染
腫れ
鎮静(麻酔)に対する反応
歯周病の一般的な原因は何ですか?
当院では、正しいブラッシング方法の指導や口腔衛生管理を行うとともに、
歯周病の進行度や症状に応じて次のような治療を実施しています。
歯周病の主な原因
不十分な口腔衛生
喫煙
遺伝的要因
妊娠・更年期などのホルモン変化
慢性的なストレスや不適切な食生活
糖尿病などの基礎疾患
薬剤の影響
歯周病に対する主な治療内容
スケーリング(歯石除去)
早期段階でのプラーク・歯石の除去
キュレッタージ(歯周ポケット治療)
歯周病によって深くなったポケット内の感染組織を除去
ルートプレーニング(根面平滑化)
歯根表面に付着した歯石や細菌性プラークを徹底的に除去し、
再付着を防ぐ
歯肉移動術・フラップ手術(歯肉弁形成手術)
退縮した歯ぐきを隣接部位の健康な歯肉で補い、
露出面を覆って機能的かつ審美的に改善
遊離歯肉移植・結合組織移植(FGG/CTG)
歯ぐきの退縮部位を結合組織で補い、
機能・審美の両面で改善を図る治療
ジンジベクトミー/ジンジベロプラスティ(歯肉切除・整形)
審美的または機能的な目的で歯肉の形態を改善する処置
